Имплант и очила за добавена реалност позволяват на слепи хора отново да четат
Нов тип очен имплант в комбинация с очила за добавена реалност дава надежда на хора, изгубили зрението си – в малко клинично изпитване около 80% от участниците успяват отново да разпознават букви и думи година след поставянето му.
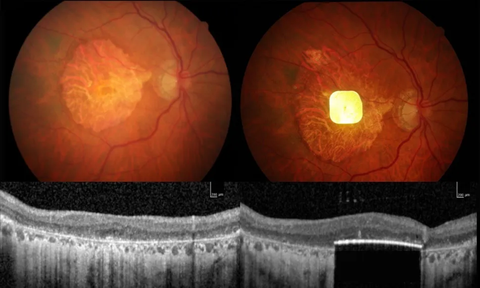
Проучването включва 38 пациенти от Европа, страдащи от макулна дегенерация, свързана с възрастта – най-честата причина за слепота при хора над 65 години. Болестта засяга централната част на ретината (макулата), което води до загуба на централното зрение, а при напреднали случаи – до пълна слепота.
Новата технология, наречена PRIMA (photovoltaic retina implant microarray), представлява миниатюрен електронен чип, имплантиран под ретината, който безжично се свързва с очила за добавена реалност. Вградена камера в очилата улавя изображението и го прожектира като инфрачервена светлина върху импланта. Там светлината се преобразува в електрически сигнали, които мозъкът разчита като зрителна информация.

Участниците са преминали месеци на обучение, за да се научат да четат с помощта на устройството. Някои от тях споделят, че вече могат да решават кръстословици или дори да се ориентират в метрото на Париж. Вградената функция за приближение помага и при четене на дребен шрифт, например върху лекарствени опаковки.
Все пак технологията има ограничения – засега тя възстановява само черно-бяло зрение и не може да различава лица. Не е ясно и колко дълготрайно ще бъде действието ѝ.
Ако бъде доразвита, системата PRIMA може да се превърне в пробив в лечението на макулната дегенерация и да върне част от зрението на милиони хора по света.
Източник: Holz F. G. et al., “Subretinal Photovoltaic Implant to Restore Vision in Geographic Atrophy Due to AMD,” The New England Journal of Medicine, 27 октомври 2025 г., https://doi.org/10.1056/NEJMoa2501396